厚生省認可 鹿児島大学病院歯科医師臨床研修施設

close

EN

症例写真集

Case

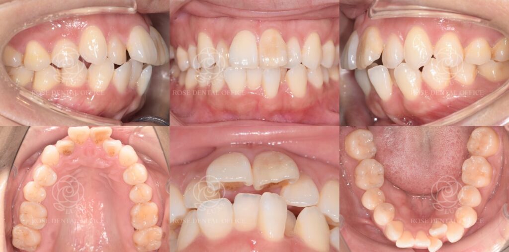
他院では断られた上下前歯のデコボコをマウスピース矯正で改善した症例 30代女性 

インビザライン・コンプリヘンシブ(マウスピース矯正・全体矯正)

Before

After

主訴
・上の前歯が出ている
・上下前歯のデコボコが気になる
治療内容
他院ではインビザライン矯正(マウスピース矯正)でできない、ワイヤーじゃないと難しいと言われ
て相談にいらっしゃいました。
目立たずに矯正を進めたいとのご希望があり、当院での分析の結果、インビザライン矯正で治療が可能と判断し、矯正治療を行いました。
装着時間の確保が難しいという声もあったので、通常よりも時間をかけて、ライフスタイルに応じた
治療計画を立てました。
上下の歯並びを整えるため、奥歯を後方に移動させ、必要な部分には歯と歯の間をわずかに削るディスキング(IPR)を行い、前歯がきれいに並ぶためのスペースを確保しました。
担当医 上妻 渉
治療期間・回数
3年6ヶ月・21回
※追加アライナー2回 
概算治療費
670,500円(税別) ※費用は治療当時の料金となります
リスク・副作用
疼痛、知覚過敏、顎関節症、虫歯、歯周病、歯根吸収、歯髄壊死、歯肉退縮、歯の亀裂、
ホワイトスポット、ブラックトライアングルなど

  • twitter
  • facebook
  • line