厚生省認可 鹿児島大学病院歯科医師臨床研修施設

close

EN

症例写真集

Case

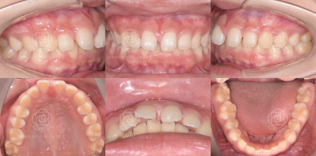
インビザライン矯正で上の前歯のすきっ歯と下の前歯のがたつきを改善 20代女性

インビザライン・コンプリヘンシブ(マウスピース矯正・全体矯正)

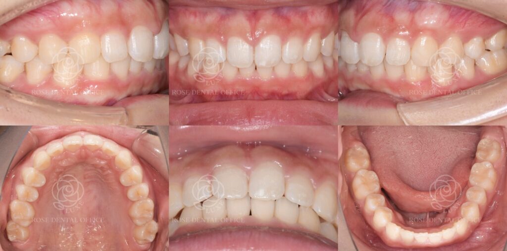
Before

After

主訴
上の前歯の隙間(すきっ歯)が気になる
下の前歯のがたつきが気になる
治療内容
「目立たずに矯正を進めたい」とのご希望があったため、透明なマウスピースを用いたインビザラインによる治療をご提案。過蓋咬合の為、前歯だけの部分矯正(インビザラインGO)では後戻りのリスクが高く、全体矯正が望ましいと判断しました。
また、以前他院で前歯の隙間をCR(コンポジットレジン)で修復されており、そこも最終的な歯並びに合わせて綺麗に修正しています。
歯並び全体のバランスや咬み合わせをしっかりと整えながら、前歯のすき間や下の歯のがたつきを目立たずに短期間での改善に成功しました。
担当医 上妻 渉
治療期間
6ヶ月・5回 
概算治療費
720,500円(税別) ※費用は治療当時の料金となります
リスク・副作用
疼痛、知覚過敏、顎関節症、虫歯、歯周病、歯根吸収、歯髄壊死、歯肉退縮、歯の亀裂、
ホワイトスポット、ブラックトライアングルなど

  • twitter
  • facebook
  • line