厚生省認可 鹿児島大学病院歯科医師臨床研修施設

close

EN

症例写真集

Case

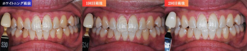
歯の黄ばみを自然な白さへ オフィスホワイトニング 20代女性

主訴
歯の黄ばみが気になる
治療内容
今回の患者様は、「歯の黄ばみが気になる」とのことで、オフィスホワイトニングをご希望されました。
施術前には、歯の表面の汚れや着色を除去するため、専用の器具を使用してクリーニングを行いました。その後、高濃度の過酸化水素水を歯の表面に塗布し、専用の光を照射してオフィスホワイトニングを実施しました。
施術は2回に分けて行い、1回目から歯の明るさの変化が見られました。2回目の施術後には、さらに自然で透明感のある白さが得られ、患者様にも大変ご満足いただけました。  
治療期間・回数
1ヶ月・2回
概算治療費
オフィスホワイトニング1回:27,059円(税込)
合計:54,118円(税込)
リスク・副作用
一時的に歯がしみることがあります。
白さには個人差があり、被せ物や詰め物は白くなりません。
色ムラや徐々に色戻りが起こることがあります。
  • twitter
  • facebook
  • line