厚生省認可 鹿児島大学病院歯科医師臨床研修施設

close

EN

症例写真集

Case

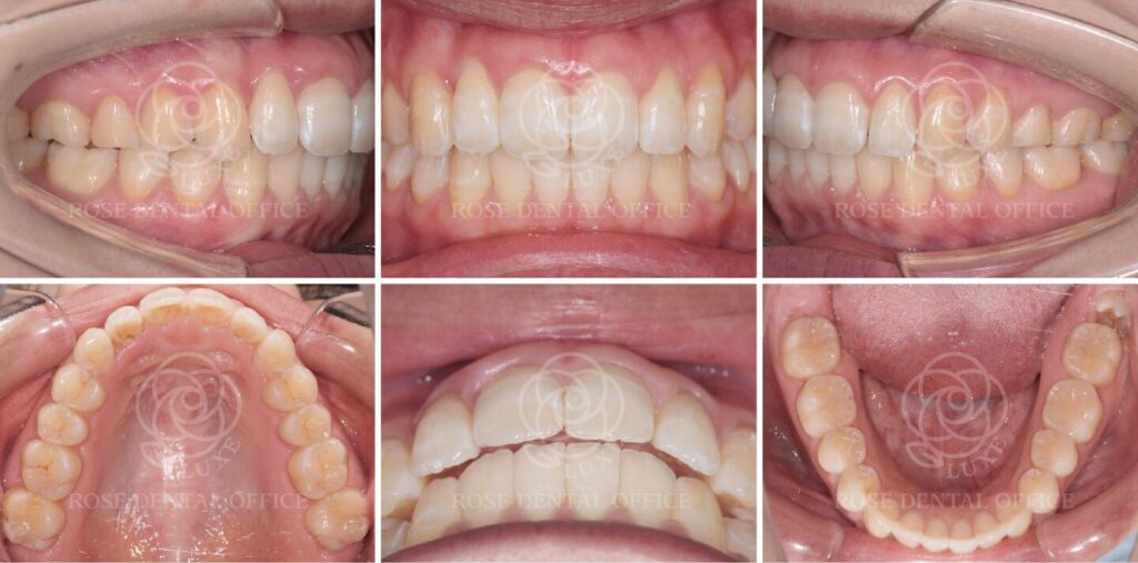
上の前歯の捻転と突出感をインビザライン矯正治療で改善 20代女性

インビザライン・コンプリヘンシブ(マウスピース矯正・全体矯正)

Before

after

主訴
・上の歯が出ているのが気になる
・上の前歯の捻れを綺麗にしたい
・開咬が気になる
・できれば抜歯したくない
治療内容
・目立たずに矯正を進めたいとのご希望があり、透明なマウスピースを使用するインビザラインによる矯正治療を行いました。
・非抜歯をご希望であり、上下の歯並びを整えるため、上顎の奥歯を後方に移動させ、必要な部分には歯と歯の間をわずかに削るディスキング(IPR)を行い、前歯がきれいに並ぶためのスペースを確保しました。
担当医 上妻 渉
治療期間
12ヶ月 
概算治療費
67万円(税別) ※費用は治療当時の料金となります
リスク・副作用
疼痛、知覚過敏、顎関節症、虫歯、歯周病、歯根吸収、歯髄壊死、歯肉退縮、歯の亀裂、
ホワイトスポット、ブラックトライアングルなど

  • twitter
  • facebook
  • line