厚生省認可 鹿児島大学病院歯科医師臨床研修施設

close

EN

症例写真集

Case

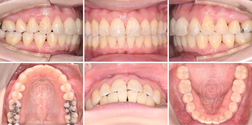
口元の突出感を改善 非抜歯のインビザライン矯正治療 20代女性

インビザライン・コンプリヘンシブ(マウスピース矯正・全体矯正)

Before

After

主訴
・上の前歯が出ているのが気になる
・上の前歯の捻れが気になる
治療内容
・目立たない矯正を希望だったので、インビザラインを使用したマウスピース矯正を行いました。
・スペース確保のため、上顎臼歯部の後方移動とディスキング(IPR)を一部実施し、前歯の入るスペースを確保。
・リンガルボタン設置 顎間ゴム使用

担当医 上妻 渉
治療期間
7ヶ月 
概算治療費
67万円(税別) ※費用は治療当時の料金となります
リスク・副作用
疼痛、知覚過敏、顎関節症、虫歯、歯周病、歯根吸収、歯髄壊死、歯肉退縮、歯の亀裂、
ホワイトスポット、ブラックトライアングルなど

  • twitter
  • facebook
  • line