厚生省認可 鹿児島大学病院歯科医師臨床研修施設

close

EN

症例写真集

Case

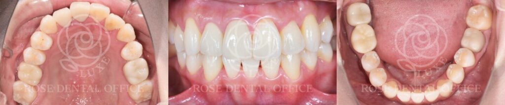
上の前歯2本の形や色、噛み合わせが気になる マウスピース矯正とセラミック治療でトータルコーディネートした症例 20代女性

インビザライン・コンプリヘンシブ(マウスピース矯正・全体矯正)

マウスピース矯正で歯列を整えて、上の前歯2本のセラミック治療を行いました。

マウスピース矯正治療前

マウスピース矯正治療後

セラミック治療後

治療前後でのBefore・After

主訴
上の前歯2本の形や色、傾きが気になる
上の前歯の捻れと八重歯が気になる
噛み合わせが気になる
治療内容
目立たない矯正をご希望だったのでマウスピース矯正インビザライン治療で、歯並びと噛み合わせを改善しました。臼歯部を後方移動し、非抜歯でスペース確保を可能にしました。
上の前歯2本に関しては、失活歯で色の変色と根尖病巣(根の先の病気)がみられたため、根管治療を
行なった後、オフィスホワイトニングで歯の色を全体的に白くし、審美性に優れたセラミッククラウンで治療を行いました。

担当医 上妻 渉
治療期間
マウスピース矯正・セラミック治療:2年7ヶ月 ※追加アライナーあり
概算治療費
マウスピース矯正:670,500円(税別)
セラミック治療(前歯2本):427,000円(税別) 
※費用は治療当時の料金となります
リスク・副作用
疼痛、知覚過敏、顎関節症、虫歯、歯周病、歯根吸収、歯髄壊死、歯肉退縮、歯の亀裂、
ホワイトスポット、ブラックトライアングルなど

  • twitter
  • facebook
  • line