厚生省認可 鹿児島大学病院歯科医師臨床研修施設

close

EN

症例写真集

Case

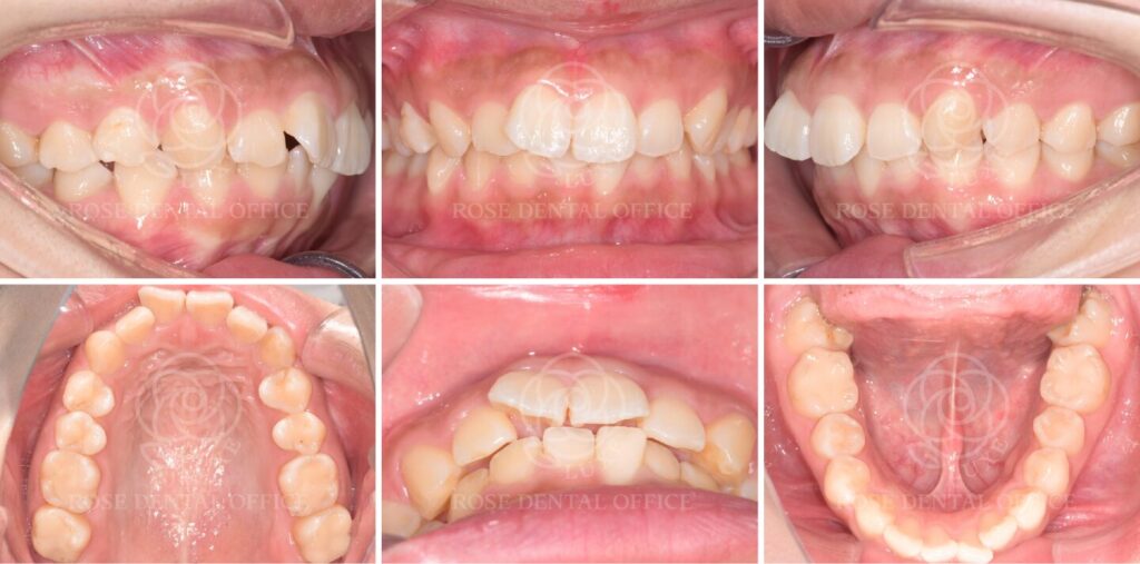
【前歯矯正】前歯のでこぼこを改善したインビザラインGO矯正治療 20代女性

マウスピース矯正(インビザラインGO/前歯矯正)

Before

After

主訴
・前歯のでこぼこが気になる
治療内容
臼歯関係は良好で、目立たない矯正治療を希望されていました。大きな咬合異常は認められなかったため、前歯部を対象としたインビザラインGOによる矯正治療を行いました。
担当医 上妻 渉
治療期間
8ヶ月 ※追加アライナーあり
概算治療費
36万円(税別) ※費用は治療当時の料金となります
リスク・副作用
疼痛、知覚過敏、顎関節症、虫歯、歯周病、歯根吸収、歯髄壊死、歯肉退縮、歯の亀裂、
ホワイトスポット、ブラックトライアングルなど
  • twitter
  • facebook
  • line