厚生省認可 鹿児島大学病院歯科医師臨床研修施設

close

EN

症例写真集

Case

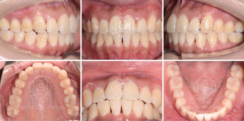
前歯のでこぼこを改善した非抜歯のインビザライン矯正治療 20代女性

インビザライン・コンプリヘンシブ(マウスピース矯正/全体矯正)

Before

After

Before

After

主訴
・前歯のでこぼこが気になる
・上顎の左右の八重歯が気になる
・目立たない矯正を希望
治療内容
目立たない矯正治療を希望されていた為、マウスピース矯正インビザラインで治療をしました。
奥歯を後方移動して前歯のがたつきを改善しました。
補助装置として顎間ゴムを使用しています。

担当医 上妻 渉
治療期間
24ヶ月
概算治療費
74万円(税別) ※費用は治療当時の料金となります
リスク・副作用
疼痛、知覚過敏、顎関節症、虫歯、歯周病、歯根吸収、歯髄壊死、歯肉退縮、歯の亀裂、
ホワイトスポット、ブラックトライアングルなど

  • twitter
  • facebook
  • line